ผู้เชี่ยวชาญด้านทันตกรรม ไปที่: ultradent.com
Opalescence Boost

ในการฟอกสีฟันในคลินิกพร้อมผลลัพธ์ทันที

การฟอกสีฟันแบบมืออาชีพนั้นดำเนินการโดยทันตแพทย์ของคุณที่สำนักงานทันตกรรมเพื่อให้คุณมีรอยยิ้มที่ขาวอย่างรวดเร็ว! ไม่จำเป็นต้องมีไฟฟอกสีฟัน LED ที่ร้อนหรือไม่สบายตัว เนื่องจากมีการกระตุ้นทางเคมี และคุณจะมีรอยยิ้มที่สดใสยิ่งขึ้นด้วยทรีตเมนต์เพียง 2 หรือ 3 ครั้งใน 20 นาที

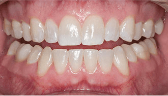
  • ก่อนระบบฟอกสีฟัน Opalescence
  • หลังจากระบบฟอกสีฟัน Opalescence
ก่อน
หลังจาก

เลื่อนแถบเลื่อนไปทางขวาเพื่อดูภาพก่อนฉีด จากนั้นไปทางซ้ายเพื่อดูผลลัพธ์ที่ยอดเยี่ยม Opalescence Boost ช่วยให้การฟอกสีฟันดีขึ้น!

คุณสมบัติผลิตภัณฑ์การฟอกสีฟันของ Opalescence Boost:

ผลิตภัณฑ์ Opalescence
  • การสมัครโดยผู้เชี่ยวชาญที่สำนักงานทันตแพทย์โดยทันตแพทย์ผู้เชี่ยวชาญที่ผ่านการฝึกอบรม
  • การฟอกสีฟันด้วยสารเคมี ซึ่งหมายความว่าไม่จำเป็นต้องใช้ไฟ LED ฟอกสีฟันที่ร้อนและไม่สบายตัว
  • เจลฟอกสีฟันประกอบด้วยโพแทสเซียมไนเตรตและฟลูออไรด์เพื่อความสบายของผู้ป่วย
  • ขาวขึ้นอย่างเห็นได้ชัดภายในเวลาประมาณหนึ่งชั่วโมง
  • รอยยิ้มที่ขาวสดใสทันทีที่คุณออกจากคลินิกทันตแพทย์
  • วีแกน—ไม่ใช้ผลิตภัณฑ์จากสัตว์
  • ได้รับการรับรองปราศจากกลูเตน
ปราศจากกลูเตน

สิ่งที่คาดหวังจาก Opalescence
ส่งเสริมการฟอกสีฟัน

วิดีโอแนะนำวิธีการใช้งาน Opalescence Boost
โมเดลของ Opalescence Boost

คำแนะนำทีละขั้นตอนในการฟอกสีฟันโดยผลิตภัณฑ์ Opalescence Boost

1
Opalescence Boost Step-1

1. ฟันของคุณจะถูกยึดเฉดสีเริ่มต้น

2
Opalescence Boost Step-2

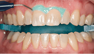
2. จะมีการใช้แผงกั้นเพื่อป้องกันไม่ให้เจลฟอกสีฟันระคายเคืองเหงือก

3
Opalescence Boost Step-3

3. ทันตแพทย์ของคุณจะทาเจลฟอกสีฟัน Opalescence Boost ด้วยปลายแปรงที่อ่อนโยน

4
Opalescence Boost Step-4

4. คุณจะเห็นผลลัพธ์ภายในเวลาประมาณหนึ่งชั่วโมง!

ปรึกษาผู้เชี่ยวชาญด้านทันตกรรมเพื่อขอข้อมูลเพิ่มเติม

ตัวเลือกผลิตภัณฑ์ไวท์เทนนิ่งอื่นๆ